"진균성 질병의 판도라 상자 열리는 것"

인간이 식물 병원성 곰팡이에 감염되는 최초의 사례가 보고됐다.
2일(현지시간) 인도매체 다운투어스(DownToEarth) 등 외신에 따르면 인도 콜커타에 거주하는 61세 남성은 식물 병원체인 자색꽃구름버섯(Chondrostereum Purpureum) 곰팡이균에 감염됐다. 자색꽃구름버섯은 주로 장미과 식물들의 잎을 은백색으로 변색시키는 '은잎병'을 유발하는데, 사람이 감염된 사례로 보고된 것은 이번이 처음이다.
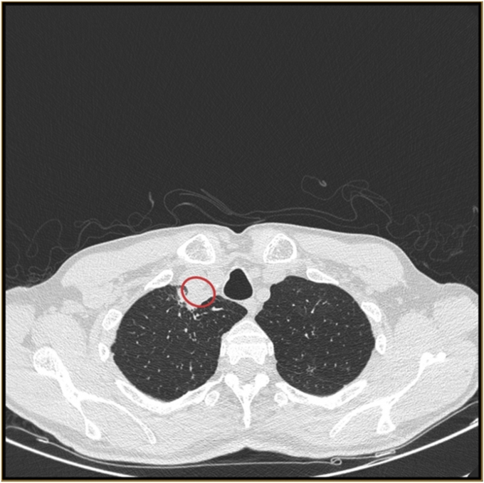
이 남성은 석달간 쉰 목소리, 기침, 피로, 목넘김 어려움 등의 증상으로 고통을 호소하다 병원을 찾았다. 병원에서 CT촬영결과, 이 남성의 목에서 기관지성 낭종이 발견됐다. 원인을 쉽사리 특정할 수 없었던 담당 의사는 낭종에서 짜낸 고름 샘플을 세계보건기구(WHO) 협력센터에 보내 검진을 의뢰했다.
그 결과, 남성은 곰팡이의 일종인 자색꽃구름버섯에 감염된 것으로 나타났다. 다행히 이 남성은 두달간 항진균제 치료끝에 완치됐지만, 전문가들은 남성이 매우 건강한 상태였다는 점, 특히 식물에게만 병을 옮기던 식물 병원체 곰팡이가 인간에게 병을 옮긴 첫 사례라는 점을 들어 우려스러운 상황이라고 짚었다.
진균감염은 면역력이 약화된 상태에서 발생한다. 대식세포가 식균작용을 통해 곰팡이균을 충분히 먹어치우지 못했을 때 감염되기 때문이다. 실제로 지난 2021년 코로나19 팬데믹 당시 코로나19에 감염돼 면역력이 약화된 환자들은 털곰팡이에 의한 2차감염으로 4500여명이 사망했다.
하지만 자색꽃구름버섯에 감염된 이 남성은 당뇨, 신장병, 만성질환, 후천성면역결핍증, 면역억제제 복용 등의 이력이 없는 매우 건강한 상태였다. 이에 따라 식물 병원성 곰팡이인 자색꽃구름버섯이 우리 면역체계가 학습되지 않은 새로운 방식으로 체내에 침투하는 것 아니냐는 우려가 나온다.
일부 전문가들은 이번 사례가 우연에 의한 것이 아니라 지구온난화에 의한 새로운 현상으로 진단하고 있다. 학계에 보고된 15만여개 곰팡이류 가운데 인간의 체온을 견딜 수 있는 소수의 곰팡이만 인간을 감염시킬 수 있다. 곰팡이는 통상 12~30℃에서 가장 잘 번식한다. 즉 '자연선택설'에 따라 변화하는 환경에 잘 적응한 개체가 살아남듯, 지구온난화에 따라 기온이 올라가면서 인간의 체온도 견딜 수 있는 '열 선택'을 받은 돌연변이 곰팡이들이 생겨났다는 것이다.
이번 사례를 찾아낸 콜커타병원의 소마 두타 의사는 국제학술지 '의학균류학사례보고'(Medical Mycology Case Reports)에서 "지난 수십년간 수많은 병원성 곰팡이들이 새롭게 나타났다"면서 "지구온난화와 인간활동으로 진균성 질병의 판도라 상자가 열리는 것은 아닌지 우려된다"고 말했다.
Copyright @ NEWSTREE All rights reserved.
[관련기사]

- 이재은 기자 jelly@ 다른기사보기